KI-Diagnose: Google erkennt Lungenkrankheiten mit Künstlicher Intelligenz
Neue Google-KIs können Röntgenaufnahmen von Lungen auf Krankheiten analysieren. Sie erreichen bei ihren Diagnosen das Niveau von Radiologen.
Künstliche Intelligenz breitet sich rasant in der Medizin aus: Auf Bildanalyse trainierte KIs identifizieren Brustkrebs, Lungenkrebs oder Hautkrankheiten. Google stellt jetzt neue KI-Systeme vor, die zu Röntgenaufnahmen der Lunge Diagnosen stellen können.
Die Herausforderung für Mensch und Maschine: Lungen sind dreidimensional, Röntgenaufnahmen jedoch zweidimensional. Das erschwert die Analyse der Bilder.
Vereinzelt könnten daher frühe Anzeichen für Lungenkrebs oder kollabierte Lungen von Menschen übersehen werden. Googles KI-Systeme sollen hier Radiologen bei ihrer Arbeit unterstützen.
Mehr als eine halbe Million Trainingsbilder
Die KIs wurden mit rund 600.000 Röntgenaufnahmen und dazugehörigen Diagnosen von Radiologen aus zwei Datensätzen trainiert. Für ihr Experiment zogen die Forscher automatisiert zu den Diagnosen passende Schlüsselwörter aus den Texten und ordneten sie den Bildern zu. Die Zuordnungen wurden von externen Radiologen an 37.000 Stichproben überprüft.

Der gesamte Datensatz wurde vor dem Training noch einmal von Radiologen geprüft. So sollten Fehldiagnosen reduziert werden.
Vier Diagnosen und eine Erkenntnis
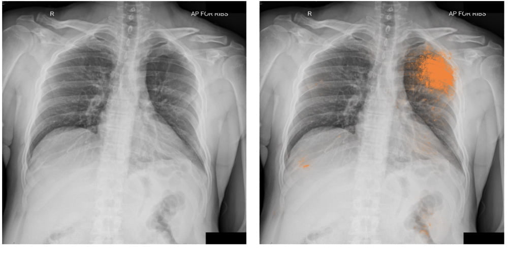
Nach dem Training konnten die spezialisierten KIs vier Diagnosen stellen: Pneumothorax (kollabierte Lunge), Knoten und größere Massen, Frakturen und Materialansammlungen in der Lunge. Die KIs diagnostizieren laut Google auf dem Niveau menschlicher Radiologen.
Das gilt für korrekte Diagnosen ebenso wie für Fehldiagnosen: Die KIs identifizierten oft Befunde, die von Radiologen übersehen wurden und umgekehrt. Die Fehldiagnosen der Radiologen sind menschliches Versagen, die der KI sind durch Datenlücken zu erklären. Google sieht die Zukunft des KI-Einsatzes in der Medizin in der Zusammenarbeit zwischen Mensch und Maschine.
Auffällig laut Google: Die Diagnoseleistung von Radiologen und KI variiert stark zwischen einzelnen Datensätzen. Während im ChestX-ray14-Datensatz 79 Prozent der kollabierten Lungen von Radiologen entdeckt wurden, erkannten die gleichen Radiologen die Krankheit in einem zweiten Datensatz nur zu 52 Prozent.
Das mache erneut deutlich, wie wichtig mehrere Datensätze aus verschiedenen Quellen seien, um Diagnose-KIs zu trainieren und zu testen. Sonst könnten laut Google leicht Fehldiagnosen übernommen werden.
Quelle: Google
KI-News ohne Hype – von Menschen kuratiert
Mit dem THE‑DECODER‑Abo liest du werbefrei und wirst Teil unserer Community: Diskutiere im Kommentarsystem, erhalte unseren wöchentlichen KI‑Newsletter, 6× im Jahr den „KI Radar"‑Frontier‑Newsletter mit den neuesten Entwicklungen aus der Spitze der KI‑Forschung, bis zu 25 % Rabatt auf KI Pro‑Events und Zugriff auf das komplette Archiv der letzten zehn Jahre.
Jetzt abonnierenKI-News ohne Hype
Von Menschen kuratiert.
- Mehr als 20 Prozent Launch-Rabatt.
- Lesen ohne Ablenkung – keine Google-Werbebanner.
- Zugang zum Kommentarsystem und Austausch mit der Community.
- Wöchentlicher KI-Newsletter.
- 6× jährlich: „KI Radar“ – Deep-Dives zu den wichtigsten KI-Themen.
- Bis zu 25 % Rabatt auf KI Pro Online-Events.
- Zugang zum kompletten Archiv der letzten zehn Jahre.
- Die neuesten KI‑Infos von The Decoder – klar und auf den Punkt.